Cirugía avanzada
Aplicamos técnicas avanzadas para recuperar hueso, función y estética, incluso en casos que requieren una planificación más exigente.
Regeneración ósea avanzada para implantes dentales
Recupera el hueso perdido y vuelve a sonreír con seguridad
La regeneración ósea es una de las técnicas más avanzadas dentro de la implantología moderna. Permite reconstruir el hueso perdido en el maxilar o la mandíbula, haciendo posible la colocación de implantes dentales incluso en pacientes que, hace años, no eran candidatos a este tratamiento.
En nuestra clínica aplicamos protocolos de cirugía regenerativa avanzada, utilizando biomateriales de última generación y planificación digital 3D para conseguir resultados seguros, predecibles y duraderos.
Gracias a estas técnicas, hoy es posible recuperar el volumen óseo necesario y devolver al paciente una sonrisa funcional, estética y estable.


¿Por qué se pierde el hueso dental?
El hueso que rodea los dientes necesita recibir estímulos constantes a través de la masticación. Cuando un diente se pierde y no se reemplaza a tiempo, el hueso comienza a reabsorberse progresivamente.
Este proceso es completamente natural, pero con el paso del tiempo puede provocar una pérdida significativa de volumen óseo, dificultando o incluso impidiendo la colocación de implantes dentales sin un tratamiento previo.
Las causas más frecuentes de pérdida ósea incluyen:
• Pérdida de dientes durante largos periodos de tiempo
• Enfermedad periodontal avanzada
• Infecciones dentales crónicas
• Traumatismos o accidentes
• Extracciones dentales complejas
• Uso prolongado de prótesis removibles
La buena noticia es que, gracias a las técnicas actuales de regeneración ósea, la falta de hueso ya no es un límite para recuperar la sonrisa.
¿Qué es la regeneración ósea?
La regeneración ósea es un procedimiento quirúrgico que permite estimular la formación de nuevo hueso en zonas donde se ha producido una pérdida ósea.
Para lograrlo utilizamos biomateriales altamente biocompatibles y membranas especiales, diseñadas para guiar y favorecer el crecimiento del hueso natural del paciente.
Estos materiales actúan como una matriz o soporte que permite que el organismo genere nuevo tejido óseo de forma progresiva, creando la base necesaria para la colocación de implantes dentales con total estabilidad.
El hueso regenerado se integra con el hueso natural del paciente, garantizando una estructura sólida, funcional y duradera.
Técnicas de regeneración ósea que utilizamos
Existen diferentes técnicas de regeneración ósea que permiten aumentar el volumen de hueso en anchura o altura, dependiendo de las necesidades del paciente y de la complejidad del caso.
Regeneración ósea guiada (GBR)
La regeneración ósea guiada es una de las técnicas más utilizadas en implantología moderna. Consiste en colocar material de injerto óseo cubierto por una membrana biocompatible, que actúa como barrera y permite que el hueso se regenere sin interferencias de otros tejidos.
Esta técnica permite recuperar volumen óseo de forma controlada y es especialmente útil en defectos óseos moderados.
Técnica de Khoury
La técnica de Khoury es una técnica avanzada de regeneración ósea que utiliza láminas de hueso autólogo del propio paciente, generalmente obtenidas de la mandíbula.
Estas finas placas de hueso se colocan formando una especie de “caja biológica” que se rellena con partículas óseas, permitiendo una regeneración muy estable y predecible.
Es una técnica especialmente indicada en pérdidas óseas importantes en anchura, ofreciendo resultados muy fiables a largo plazo.
Técnica de Urban (regeneración vertical avanzada)
La técnica desarrollada por el Dr. Istvan Urban está diseñada para regeneraciones óseas verticales complejas, donde es necesario aumentar significativamente la altura del hueso.
Se basa en el uso de mezclas de injerto óseo y membranas reforzadas, junto con protocolos quirúrgicos muy precisos que favorecen la estabilidad del injerto y la regeneración del hueso.
Es una de las técnicas más avanzadas en regeneración ósea vertical dentro de la implantología actual.
Técnica “Sausage” (técnica de la salchicha)
La conocida como técnica de la salchicha es una variación de la regeneración ósea guiada descrita por el Dr. Urban, en la que se utiliza una membrana de colágeno fijada con pins o tornillos para crear una tensión que estabiliza el injerto óseo.
El material de injerto queda contenido bajo la membrana, adoptando una forma característica similar a una “salchicha”, lo que permite mantener el volumen del injerto y favorecer una regeneración ósea predecible.
Esta técnica es especialmente útil para regeneraciones horizontales y combinadas, proporcionando una gran estabilidad del injerto durante el proceso de cicatrización.
Injertos óseos
En algunos casos es necesario añadir injerto óseo para aumentar el volumen del hueso disponible. Este material puede ser autólogo (del propio paciente) o biomateriales diseñados para integrarse con el hueso natural.
Los injertos actúan como una estructura que permite al organismo generar nuevo hueso de forma progresiva.
Elevación de seno maxilar
Cuando el hueso es insuficiente en la zona posterior del maxilar superior, realizamos una técnica conocida como elevación de seno maxilar.
Este procedimiento permite aumentar la altura del hueso en esa zona, creando el espacio necesario para colocar implantes dentales con total seguridad.
Es una técnica muy predecible y con una alta tasa de éxito cuando se realiza con una correcta planificación.
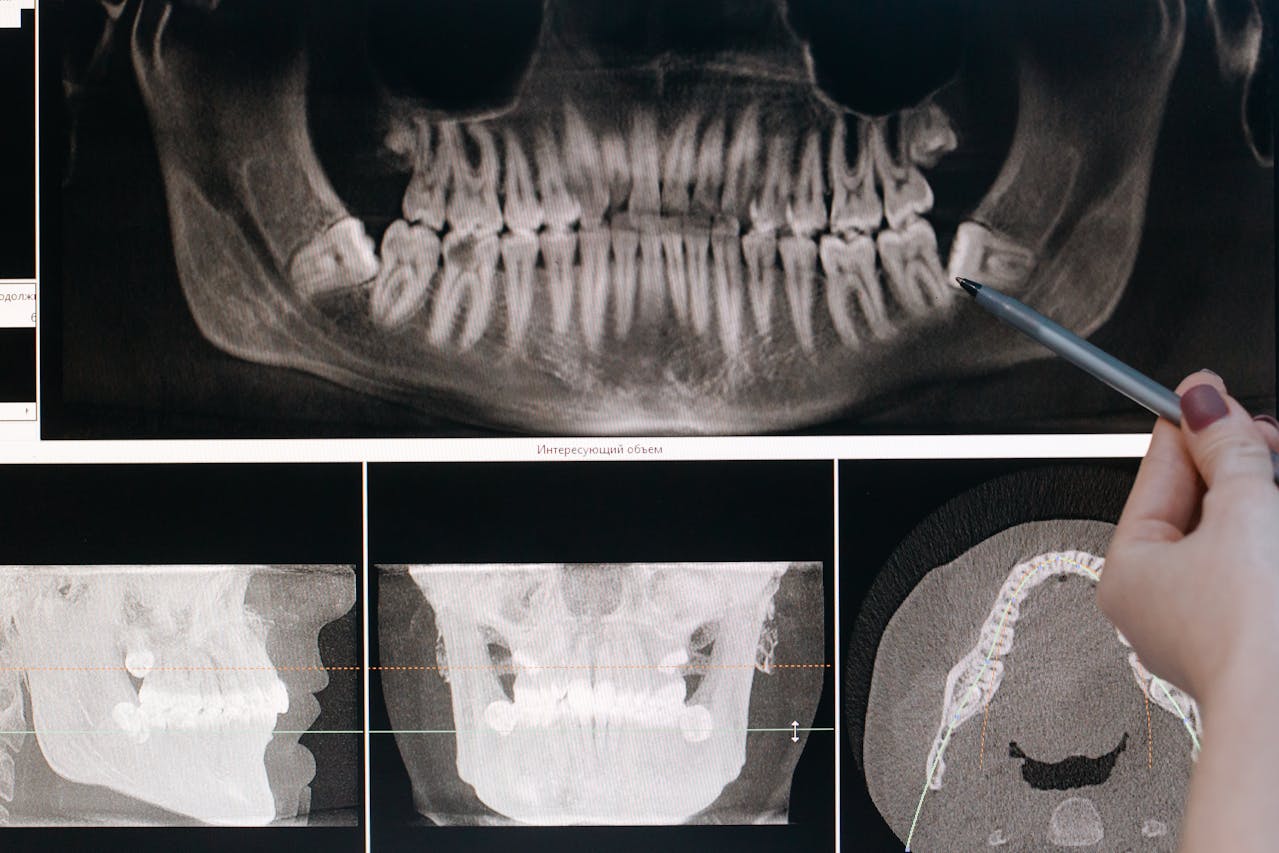
Tecnología y planificación digital
La precisión es clave en cualquier tratamiento de implantología avanzada.
En nuestra clínica utilizamos tecnología de diagnóstico digital y escáner 3D, que nos permite analizar con exactitud la cantidad y calidad del hueso disponible antes de realizar cualquier procedimiento.
Gracias a esta planificación digital podemos:
• Evaluar el volumen óseo con máxima precisión
• Diseñar un tratamiento completamente personalizado
• Aumentar la seguridad del procedimiento
• Mejorar la previsibilidad de los resultados
Esta tecnología nos permite ofrecer tratamientos más seguros, mínimamente invasivos y altamente eficaces.
¿Es un procedimiento doloroso?
La regeneración ósea se realiza bajo anestesia local, por lo que el paciente no siente dolor durante el procedimiento.
Tras la intervención puede aparecer una ligera inflamación o molestias durante algunos días, que se controlan fácilmente con medicación y siguiendo las recomendaciones del especialista.
La recuperación suele ser rápida y la mayoría de los pacientes pueden retomar su rutina habitual en pocos días.
Beneficios de la regeneración ósea
La regeneración ósea ofrece múltiples beneficios para los pacientes que desean recuperar su sonrisa mediante implantes dentales:
• Permite colocar implantes en pacientes con falta de hueso
• Mejora la estabilidad y durabilidad de los implantes
• Recupera la función masticatoria de forma natural
• Mejora la estética facial y dental
• Evita en muchos casos el uso de prótesis removibles
• Permite tratar casos que antes no tenían solución implantológica
Gracias a estas técnicas, hoy es posible ofrecer soluciones avanzadas incluso en situaciones complejas.
Experiencia y especialización
La regeneración ósea es un procedimiento que requiere formación específica, experiencia quirúrgica y planificación precisa.
Nuestro equipo está especializado en implantología avanzada y cirugía regenerativa, utilizando protocolos clínicos actuales y materiales de alta calidad para garantizar los mejores resultados.
Cada tratamiento se diseña de forma personalizada, teniendo en cuenta las necesidades funcionales, estéticas y de salud de cada paciente.
Primera valoración personalizada
Si te han dicho que no puedes colocarte implantes dentales por falta de hueso, hoy en día existen técnicas que pueden hacerlo posible.
Te invitamos a realizar una valoración personalizada en nuestra clínica, donde analizaremos tu caso mediante diagnóstico avanzado y te explicaremos todas las opciones disponibles.
Nuestro objetivo es ayudarte a recuperar tu sonrisa con seguridad, confianza y resultados duraderos.